Seção - Imagem da Semana

Semana 13

Como diferenciar veia de artéria pela imagem acima?


Semana 12

Paciente 30 anos IC prévia, hepatopata, com COVID confirmado. O que podemos ver na imagem?

Semana 11

Paciente 73 anos com IC descompensada de longa data.

Semana 10

Qual o nome popular da imagem acima?

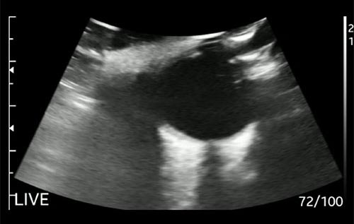
Semana 9

Paciente com AVC e rebaixamento do sensorio em hospital sem tomografia disponível.

Semana 8

Qual o modo de visualização de imagem que podemos identificar acima?

Semana 7

Paciente com história de trauma abdominal fechado há 1 hora, da entrada no departamento de emergência. Comente.

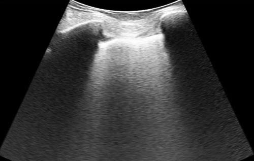
Semana 6

Paciente 58 anos, hipertenso, hepatopata, evoluindo com dispneia e aumento do volume abdominal. Quais achados podemos ver na imagem?

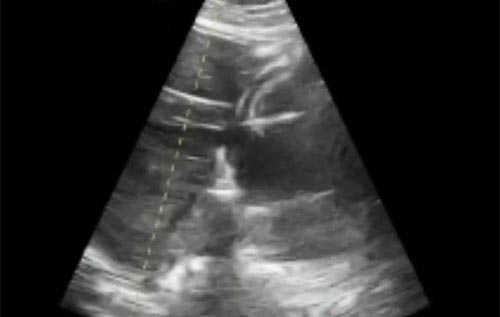
Semana 5

Paciente dá entrada no DE com insuficiência respiratória, com necessidade de intubação orotraqueal. Realizado ultrassom beira leito logo após o procedimento, com a seguinte aquisição de imagem. Que estrutura podemos ver?

Semana 4

Paciente 27 anos, vítima de projétil de arma de fogo em região torácica anterior. Paciente dessaturando em ar ambiente.

Semana 3

Paciente homem, 68 anos, hipertenso, diabético, sedentário, com infarto agudo do miocárdio há 6 anos. Dá entrada no DE com dispneia. E aí? O que podemos ver nessa imagem?

Semana 2

Paciente homem, 44 anos, portador de retrovirose, AVC isquemico previo, história de neurotoxoplasmose anterior.

<