Paciente dá entrada no DE com insuficiência respiratória, com necessidade de intubação orotraqueal. Realizado ultrassom beira leito logo após o procedimento, com a seguinte aquisição de imagem. Que estrutura podemos ver?
Paciente dá entrada no DE com insuficiência respiratória, com necessidade de intubação orotraqueal. Realizado ultrassom beira leito logo após o procedimento, com a seguinte aquisição de imagem. Que estrutura podemos ver?
Resposta:
A confirmação do posicionamento correto do tubo endotraqueal é essencial para evitar situações de catástrofe em que a intubação esofágica ocorre e não é reconhecida, levando a sérios comprometimentos neurológicos e até a morte. O Advanced Cardiac Life Support (ACLS) indica o uso da capnografia como padrão ouro de checagem, porém, sabemos que há algumas limitações fisiológicas e alguns casos de resultados falsos negativos com este método. O uso do ultrassom transtraqueal surgiu como uma técnica não invasiva e segura para a visualização do posicionamento do tubo, em casos onde a capnografia não está disponível ou com uso comprometido, ou como adjunto do mesmo.
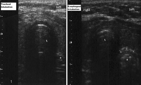
O ultrassom pode ser feito posicionando um transdutor linear ou convexo na topografia da membrana cricotireoidea ou na região da fúrcula esternal, na orientação transversa ou horizontal. A técnica pode ser feita durante a intubação ou após seu término. A visualização do ‘’sinal da tempestade de neve” (snowstorm) ou “sinal da bala” (bullet sign), com o achado de cauda de cometa ou de interface mucosa-aérea com sombra acústica posterior, confirma o correto posicionamento do tubo no interior da traqueia, tendo em vista que o próprio tubo não pode ser visualizado. Se visualizarmos uma dupla interface mucosa-aérea, com sombra acústica posterior, indica intubação esofágica, com a visualização do espaço paratraqueal à esquerda deste.
Imagem retirada de: Saurabh Kumar Das, MD • Nang Sujali Choupoo, MD • Rudrashish Haldar, MD • Amitabh Lahkar, MD Transtracheal ultrasound for verification of endotracheal tube placement: a systematic review and meta-analysis. Can J Anesth/J Can Anesth (2015) 62:413–423
A acurácia da correta visualização pode ser prejudicada por enfisema, anatomia alterada do pescoço e calcificações.
Em estudos referenciados abaixo, mostrou-se que a sensibilidade e a especificidade do método para confirmação de intubação endotraqueal são altas, mas os estudos ainda são heterogêneos, deixando o ultrassom transtraqueal ferramenta adjunta a outros métodos já existentes, eficaz para confirmação do posicionamento do tubo endotraqueal.
Referências:
Michael Gottlieb MD, RDMS; Dallas Holladay, DO; Gary D. Peksa, PharmD. Ultrasonography for the Confirmation of Endotracheal Tube intubation: A Systematic Review and Meta-Analysis. 2018.
Ultrasonography for confirmation of endotracheal tube placement: A systematic review and meta-analysis..H. Chou et al. / Resuscitation 90 (2015) 97–103
Transtracheal ultrasound for verification of endotracheal tube placement: a systematic review and meta-analysis .Can J Anesth/J Can Anesth (2015) 62:413–423
por Patrícia Lopes Gaspar (Residente de Medicina de Emergência do Ceará)
patylopesg
resemergce
Associações de Medicina de Emergência no Brasil e no Mundo
Revistas de Medicina de Emergência e áreas correlatas