"Faz melhor quemvive o que faz."
Toda terça-feira, uma nova imagem para sua análise. Na segunda-feira seguinte, a resposta é liberada.
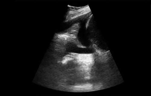
Paciente 63 anos, apresentando história de dispneia arrastada por várias semanas.
Associações de Medicina de Emergência no Brasil e no Mundo
Revistas de Medicina de Emergência e áreas correlatas